
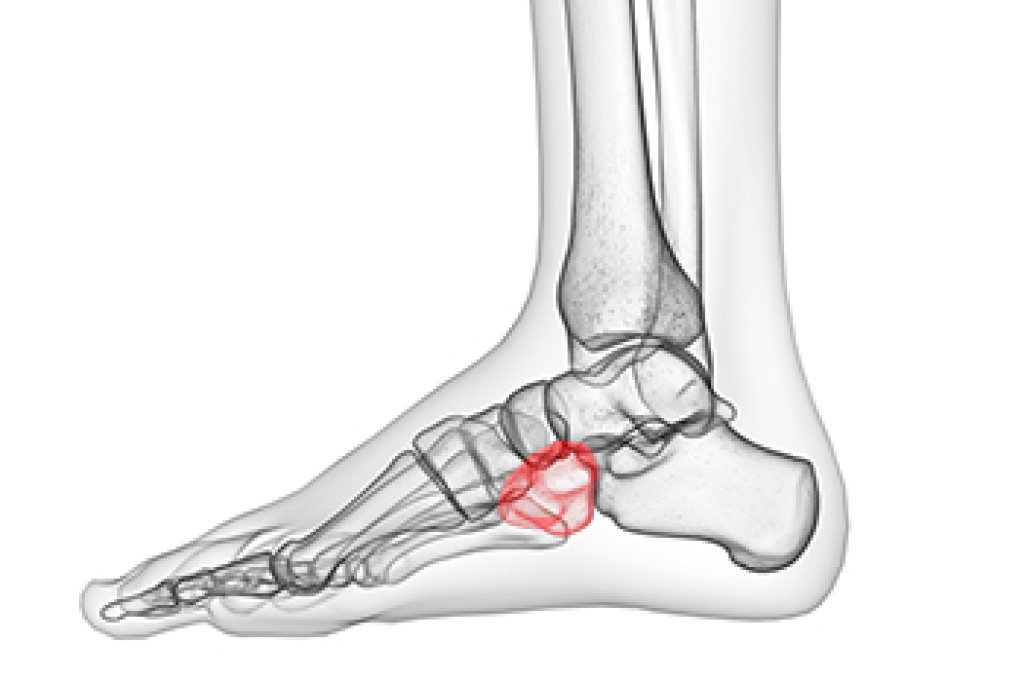
The cuboid bone is located on the outside of the foot and is one of seven tarsal bones. Cuboid syndrome occurs when this bone partially dislocates, which can happen from an injury. An ankle sprain may cause the peroneal muscles to put excess pressure on this tarsal bone, leading to pain and discomfort. An effective treatment method may include performing specific types of stretches that can help to loosen tight peroneal muscles. Additionally, the bone may be manipulated back into its normal position, and it may help to pad and tape the foot for extra stability. Many patients find getting a deep tissue massage can relax the calf and peroneal muscle, which can eliminate pressure on the cuboid bone. If you have endured an injury, and have pain on the outside of your foot, it is suggested that you confer with a podiatrist who can properly diagnose and treat cuboid syndrome.
Cuboid syndrome, also known as cuboid subluxation, occurs when the joints and ligaments near the cuboid bone in the foot become torn. If you have cuboid syndrome, consult with Afsha Naimat-Shahzad, DPM from Leander Foot & Ankle. Our doctor will assess your condition and provide you with quality foot and ankle treatment.
Cuboid syndrome is a common cause of lateral foot pain, which is pain on the outside of the foot. The condition may happen suddenly due to an ankle sprain, or it may develop slowly overtime from repetitive tension through the bone and surrounding structures.
Causes
The most common causes of cuboid syndrome include:
- Injury – The most common cause of this ailment is an ankle sprain.
- Repetitive Strain – Tension placed through the peroneus longus muscle from repetitive activities such as jumping and running may cause excessive traction on the bone causing it to sublux.
- Altered Foot Biomechanics – Most people suffering from cuboid subluxation have flat feet.
Symptoms
A common symptom of cuboid syndrome is pain along the outside of the foot which can be felt in the ankle and toes. This pain may create walking difficulties and may cause those with the condition to walk with a limp.
Diagnosis
Diagnosis of cuboid syndrome is often difficult, and it is often misdiagnosed. X-rays, MRIs and CT scans often fail to properly show the cuboid subluxation. Although there isn’t a specific test used to diagnose cuboid syndrome, your podiatrist will usually check if pain is felt while pressing firmly on the cuboid bone of your foot.
Treatment
Just as the range of causes varies widely, so do treatments. Some more common treatments are ice therapy, rest, exercise, taping, and orthotics.
If you have any questions, please feel free to contact our office located in Leander, TX . We offer the newest diagnostic and treatment technologies for all your foot care needs.
